REKLAMA

Zdjęcie rentgenowskie ujawnia złote igły do ​​akupunktury w kolanach kobiety – co się naprawdę wydarzyło

REKLAMA
REKLAMA

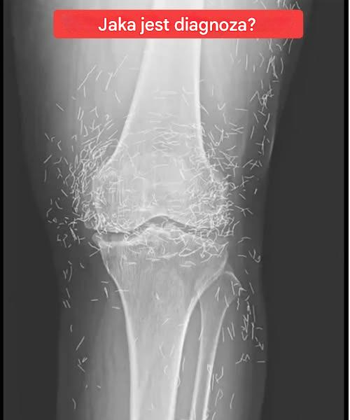
Kiedy lekarze zbadali zdjęcie rentgenowskie 65-letniej kobiety z Korei Południowej cierpiącej na silny ból kolana, zauważyli nie tylko objawy choroby zwyrodnieniowej stawów.
Zobaczyli coś nieoczekiwanego: setki drobnych metalowych odłamków wbitych w jej stawy kolanowe.

Ale wbrew popularnym nagłówkom głoszącym „setki złotych igieł” prawda jest bardziej złożona i fascynująca pod względem medycznym.

Przypadek ten, opisany w czasopiśmie Journal of the Korean Medical Science, dotyczył długotrwałego leczenia zwanego akupunkturą ze złota — specjalistycznej formy medycyny alternatywnej stosowanej w niektórych częściach Azji w celu leczenia przewlekłego bólu stawów.

Przyjrzyjmy się bliżej temu, co się naprawdę wydarzyło, dlaczego stosuje się złote igły i co to oznacza dla pacjentów rozważających alternatywne metody leczenia.

🧠 Prawdziwa historia kryjąca się za zdjęciem rentgenowskim
W 2018 roku południowokoreańscy lekarze opublikowali studium przypadku kobiety z zaawansowaną chorobą zwyrodnieniową stawów, która przez 30 lat poddawała się wielokrotnym zabiegom akupunktury złotem.

Przeczytaj dalej, klikając poniższy przycisk (CZYTAJ WIĘCEJ 》)!

REKLAMA
REKLAMA